示意图、电镜照片和粒度分布图
USPIO-30是一款超顺磁性氧化铁纳米颗粒造影剂,其作用机理是降低组织或血液的T1、T2弛豫时间,主要是用于磁共振成像的各种医学应用,特别是对体内网状内皮系统有特异性,能用于肝脏,脾脏,淋巴,骨髓等器官的增强显影。同时,因为该造影剂在体内的长循环特性,使得该造影剂有很好的血管成像功能,甚至能够在现有的磁共振设备上实现冠脉造影。
特性
产品型号 | USPIO-30 |
Fe含量 | 1mg/ml |
平均粒径 | 30nm |
磁核 | 四氧化三铁 |
壳层 | PAA |
表面官能团 | 羧基 |
磁性类型 | 超顺磁性 |
R2/R1 | 约等于4 |
有效期 | 2年(2-10℃) |
优点
双功能造影,可做T1 和 T2 加权成像
血液半衰期长,可达30min以上
网状内皮系统特异性(肝脏、脾脏、淋巴结、骨髓)
有很好的静脉造影效果
可用于细胞标记体内示踪实验
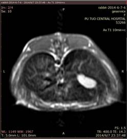
应用实例
1、血管造影


2、肝脏肿瘤造影


订购信息
产品型号 | Fe含量 | 产品颜色 | 贮存溶液 | 规格包装 |
USPIO-30 | 1mg/ml | 深棕色 | H20 | 5ml,50ml |